Skip to main content

Specialized Procedures

TIPS and Gastric Variceal Embolization Using BARTO and BRTO Techniques

Portal venograms illustrating large gastric varices in a patient with massive upper gastrointestinal bleeding. She underwent transjugular intrahepatic portosystemic shunt (TIPS) placement and balloon-occluded retrograde transvenous obliteration (BRTO) which stopped the hemorrhage.

gastric-variceal-embolization

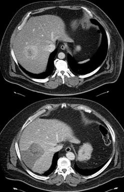
Radioembolization of liver tumors using Yttrium-90 products TheraSphere® and SIR-Spheres®

5.3 cm diameter hepatocellular carcinoma in segment 7 of the right hepatic lobe was treated twice with TheraSphere in a subsegmental fashion (“radiosegmentectomy”). The second CT was taken 8 months after the first radioembolization procedure. 12 months after the first radioembolization, his medical condition improved to allow a right hepatectomy. The pathologic specimen revealed no residual carcinoma in the resected liver.

radioembolization-of-liver-tumors

Male varicocele embolization

Left gonadal venogram demonstrates a large left varicocele and two parallel collateral veins that were embolized to complete vascular stasis using hot iodinated contrast and gelfoam. The left testicular pain and swelling have remained resolved for 6 years.

male-varicocele-embolization

Fluid collection drainage catheter placement

Initial CT demonstrates complex retroperitoneal fluid/gas collection due to necrotizing pancreatitis. The traditional treatment for this difficult problem is open surgery. Instead of surgery, the patient underwent percutaneous placement of a single, soft (silicone), 20-F drainage catheter that drained all of these collections. The second CT was taken one week after insertion of the catheter.

fluid-collection-drainage-catheter-placement

Uterine fibroid embolization (UFE)

47-year-old woman with severe menorrhagia and pelvic pain underwent UFE. Following the procedure, her menstrual bleeding and pain improved dramatically. The second MRI taken 4 months after UFE demonstrates marked decrease in uterine fibroid tumor bulk.

uterine-fibroid-embolization-(ufe)

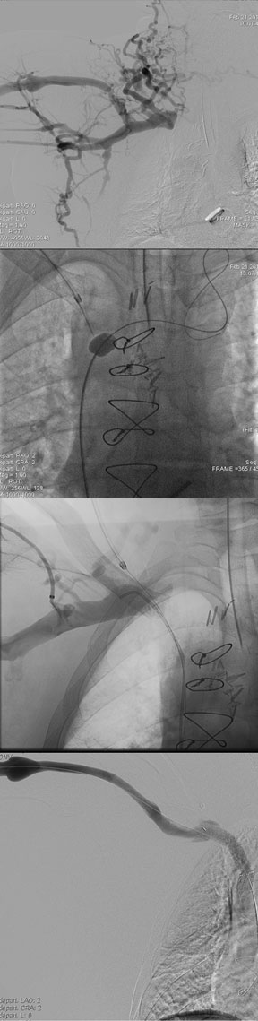
Central chest vein interventions: sharp recanalization and recreation of a chest vein

12 mm x 8 cm Viatorr® Stent placed across (sharp recanalized) right brachiocephalic vein occlusion

central-chest-vein

For more information regarding interventional radiology services at UCMC:

Please contact 513-475-8791.

Interventional radiology educational resources:

Intranet Login

Contact Us

Department of
Radiology

3188 Bellevue Avenue
Cincinnati, Ohio 45219

Phone: 513-584-4396
Fax: 513-584-0431
Email: radiology@uc.edu

To verify completion of Residency or Fellowship click here: Verify Completion