Skip to main content

University of Cincinnati Prostate Imaging Program

Prostate cancer is the second most commonly diagnosed cancer in men and the second leading cause of cancer death in American men. Estimated new cases and deaths from prostate cancer in the United States per year:

  • New cases: 220,800
  • Deaths: 27,540

Prostate MR is an emerging medical imaging technology that provides the image quality needed for an accurate look at the prostate gland using magnetic fields. This enhanced resolution offered by MRI can assist physicians in the diagnosis, staging and treatment of prostate cancer.

The University of Cincinnati offers a comprehensive evaluation of the prostate gland providing both anatomic as well as newer ‘functional imaging’ techniques that give biochemical information about the gland.

Prostate cancer treatment is determined primarily by the stage of disease and whether cancer is confined within the prostate capsule or has extended beyond the prostate gland. Accurate staging of prostate cancer is important to choose an appropriate therapy.

MR imaging has shown to improve accuracy of staging of prostate cancer in patients with intermediate or high probability of tumor spread outside the gland.

 

vermafigure-1aresize

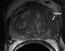
Figure 1 is a 48 year old male with a PSA of 5.23 ng/ml and biopsy proven prostate carcinoma of Gleason score 10 (5.5).

vermafigure-1c-resiz

Figure 1a: Diffusion MRI scan showing the tumor (white arrow)

Diffusion weighted imaging (DWI): DWI is a technique involving the exchange of water molecules (diffusion) between prostate tissue compartments Figure 1c. Diffusion rates vary between normal and pathologic tissue. With DWI, the MRI machine is set to detect small restrictions in the free movement of water within the prostate gland and provide information about cellular crowding, seen in areas of increased cell turnover.

Dynamic contrast enhancement (DCE): is an MR technique that gives information on tumor angiogenesis (Figures 2a-2c).

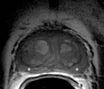
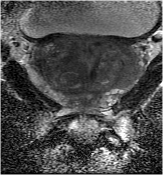
Figure 2 is biopsy proven prostate adenocarcinoma in a 62-year-old man with a Gleason grade of 6 (3+3). This example shows how functional imaging can help identify the tumor.

verma-fig-2aresized

Figure 2a: Axial T2-weighted image at the level of the mid gland shows nonspecific low signalbilaterally in the peripheral zone(asterisks) with minimal capsular bulge on the left.

verma-fig-2b-resized

Figure 2b: Diffusion weighted image with ADC map shows a low ADC value in the left mid glaperipheral zone lesion (white arrow), indicative of prostate cancer.

verma-fig-2c-resized

Figure 2c: DCE images demonstrate a focal area of abnormal enhancement in the left mid gland (solid white arrow) corresponding to the region of tumor confirmed at prostatectomy.

MRI image quality is enhanced when obtained with an endorectal coil. This coil is placed in the rectum at the start of the exam. The coil is placed rectally because it provides the greatest amount of signal when placed near the gland. This increased signal from the endorectal coil helps to provide excellent resolution (image quality). The total exam time is about 25 minutes. Patients will be provided ‘prep instructions’ prior to the exam.

Prostate MR can be particularly useful in the following cases:

  • A patient has an increasing PSA level and a negative biopsy. The detailed information provided by MRI can assist in finding the area most suspicious for disease, increasing the chance of obtaining a comprehensive biopsy.
  • In determining cancer stage by differentiating between tumors confined to the gland or extended beyond the prostate capsule and detecting seminal vesicle invasion.
  • Patients who have local recurrence or rising PSA level following radical prostatectomy. MRI can evaluate the post-surgical area for abnormal tissue.
  • In planning radiation treatment therapy for a patient. It is important the radiation be targeted to the affected area. MRI can assist the oncologist guide the therapy.

MR Guided Biopsy

Repeat negative biopsies represent a clinical problem faced by urologists. Early detection of significant tumors is crucial to establish effective, potentially curative treatment. Newly developed MR-compatible biopsy devices or MRI- Ultrasound fusion techniques enable the performance of targeted biopsies in areas that appear suspicious on the MR imaging. A diagnostic MR examination is acquired to detect cancer suspicious regions. This is typically done in patients with elevated and/ or rising PSA and at least one negative TRUS-guided biopsy session.

MRI-guided biopsy procedures improve quality of the biopsy as a high percentage of prostate cancers can be depicted using a targeted biopsy technique, eliminating unnecessary "saturation" prostate biopsies for patients with elevated PSA levels and repeated negative transrectal ultrasound biopsy sessions.

Diagnostic Prostate MRI
The MR guided biopsy starts by a "planning" diagnostic multiparametric MRI.

  • Combination of T2-w with two advanced imaging techniques is recommended for detection and localization of the suspicious region.
  • In our practice we use a combination of T2-w, DWI, and or DCE-MRI /MRSI

Examples of how MRI-Guided biopsy anatomic images, diffusion-weighted and/or contrast enhanced MRI/magnetic resonance spectroscopy can be used.

Here is an example of 61 year old man who had rising PSA and negative transrectal prostate biopsies. The patient had five prior transrectal ultrasound biopsies with estimated 51 cores obtained over multiple years:

PSA History

  • Dec2005 5.3 Biopsy Negative for cancer
  • Feb2006 6.0 Biopsy Negative for cancer
  • Dec2006 12.5 Biopsy Negative for cancer
  • April2007 11.1 Biopsy Negative for cancer
  • Sept2007 15.0 Biopsy Negative for cancer
  • Sept2008 21.6 Biopsy Negative for cancer

prostate_mri_6

prostate_mri_8

prostate_mri_7

prostate_mri_9

Figure 4: Following the diagnostic MRI he underwent a MRI Guided prostate biopsy where only 2 cores were obtained through the left sided suspicious region in the prostate gland.

prostate_mri_2
prostate_mri_3

MR guided prostate biopsy-2cores revealed an intermediate risk prostate cancer with Gleason Grade 7 (4+3)

Intranet Login

Contact Us

Department of
Radiology

3188 Bellevue Avenue
Cincinnati, Ohio 45219

Phone: 513-584-4396
Fax: 513-584-0431
Email: radiology@uc.edu

To verify completion of Residency or Fellowship click here: Verify Completion